Gum disease is one of the most common health conditions in adults, yet many people don’t realise they have it.
This is because periodontal disease often develops slowly and without pain, especially in its early stages.
Recognising the early warning signs can help prevent long-term damage to your teeth and gums.
What is gum disease?
Gum disease occurs when bacteria build up along the gumline and trigger inflammation in the tissues supporting the teeth.
Early gum disease is called gingivitis and can usually be reversed with professional cleaning and improved oral hygiene.
If left untreated, it may progress to periodontitis, a more serious condition that can damage the bone supporting the teeth.
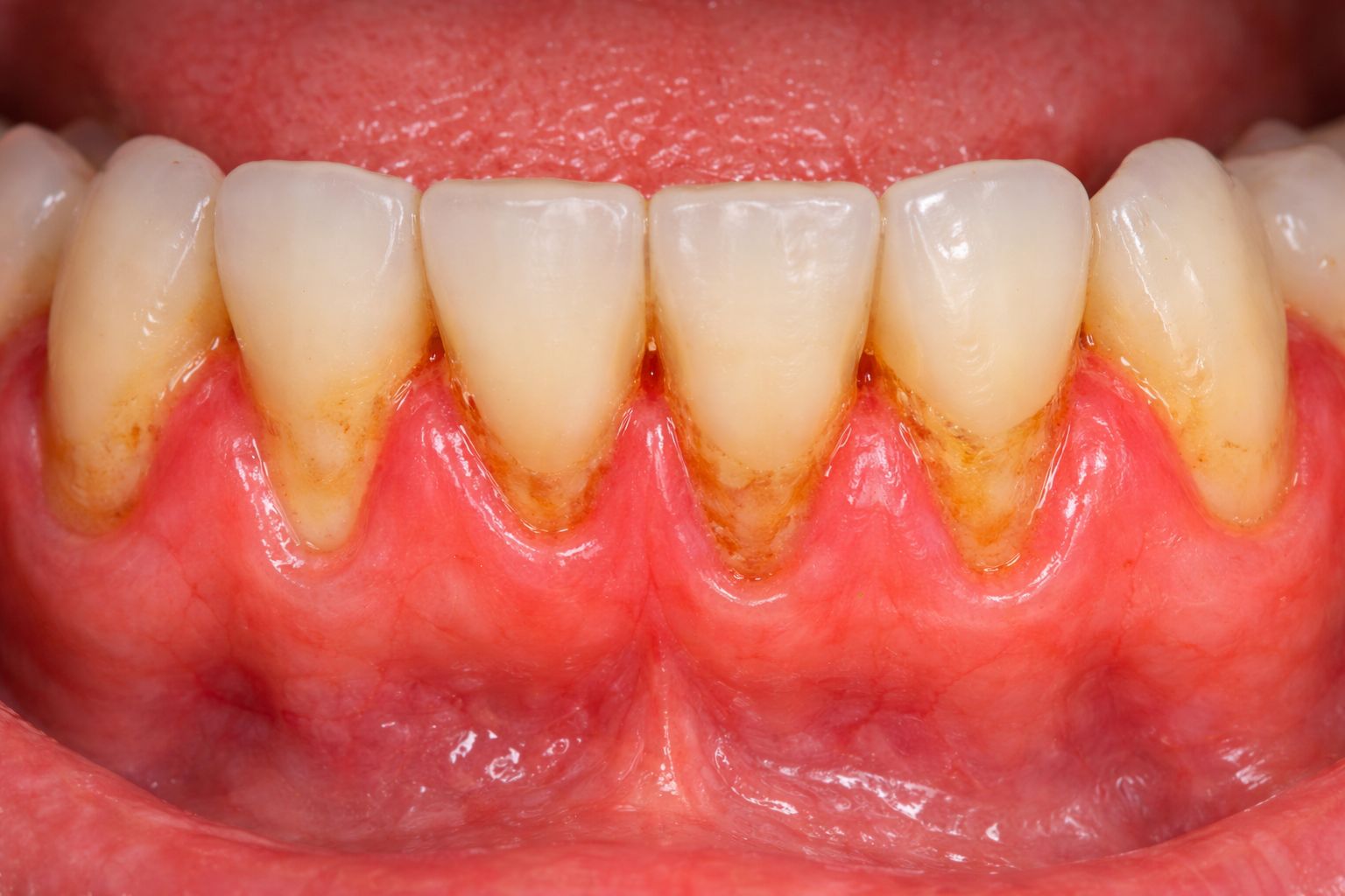
Early signs people often ignore
Many early symptoms are subtle and easy to overlook.
Common signs include:
- Bleeding when brushing or flossing
- Red or swollen gums
- Persistent bad breath
- Gums pulling away from the teeth
- Food frequently getting stuck between teeth
Because these symptoms may not cause pain, people often delay seeking dental care.
Later signs of periodontal disease
As gum disease progresses, symptoms may become more noticeable:
- Gum recession
- Tooth sensitivity
- Loose teeth
- Changes in bite
- Spaces appearing between teeth
At this stage, more advanced periodontal treatment may be required.
Researchers are continuing to study how oral bacteria and inflammation may influence overall health, including potential links between gum disease and breast health.

Why early detection is important
Research suggests that oral inflammation may influence other systems in the body, which is why scientists continue to study how gum disease affects the whole body. Because of this, early detection of gum disease is important. The earlier gum disease is identified, the easier it is to manage.
Routine dental examinations allow dentists to check for:
- Gum inflammation
- Pocket depths around teeth
- Plaque and calculus buildup
- Early bone changes
Professional cleans remove hardened plaque that cannot be removed by brushing alone.
Protecting your gum health
Maintaining healthy gums comes down to a few consistent habits:
- Brush twice daily
- Clean between teeth every day
- Attend regular dental check-ups
- Seek advice if you notice bleeding gums
Healthy gums are the foundation of a healthy smile and an important part of your overall wellbeing.
Frequently Asked Questions
What are the early signs of gum disease?
Can gum disease develop without pain?
What happens if gum disease is left untreated?
How is gum disease detected?
Dentists check for gum disease during routine dental examinations by assessing gum inflammation, measuring pocket depths around the teeth, and checking for plaque buildup and early bone changes.
How can I reduce my risk of gum disease?
Good oral hygiene and regular dental care are essential. This includes brushing twice daily, cleaning between teeth with floss or interdental brushes, attending regular dental check-ups, and seeking advice if you notice bleeding gums.
Check Your Gum Health Early
Gum disease often develops gradually and without pain, which is why many people do not notice the early warning signs. Regular dental examinations help detect gum disease early and protect the health of your teeth and gums.
If you have noticed bleeding gums, persistent bad breath, or other changes in your gum health, it may be time for a dental check-up.
Our friendly team at Tooth Sparkler Family Dental is here to help you maintain healthy gums and a confident smile.
Book your dental check-up today and take a proactive step towards protecting your oral health.


